Tenso: homem tenta segurar espirro e acaba sofrendo ruptura na garganta e espanta os médicos
Na verdade, essa não é a primeira vez que circulam notícias de pessoas que foram parar no hospital por tentar reprimir um espirro

Se você é da turminha que faz verdadeiros escândalos na hora de espirrar, então deve ter passado mais de uma vez pela experiência de tentar segurar um espirro — no consultório do dentista, no cinema, no meio de uma reunião de trabalho, enfim… — para evitar constrangimentos. No entanto, da próxima vez que a vontade surgir, não se reprima, pois, como você já deve ter ouvido por aí, não é bom segurar os espirros. Aliás, é péssimo. E pode inclusive ser perigoso!
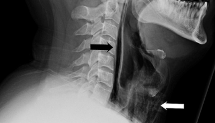
De acordo com Michelle Starr, do site Science Alert, recentemente, um homem de 34 anos foi parar no hospital depois de tentar segurar um espirro cobrindo a boca e tampando o nariz. Após o incidente, ele começou a sentir fortes dores de garganta, dificuldade para engolir, seu pescoço inchou, e o cara perdeu a voz. O diagnóstico? Uma ruptura na faringe, o órgão que conecta o nariz e a boca à laringe e ao esôfago.
Como pode?
Segundo Michelle, os espirros consistem em um mecanismo usado pelo organismo para se livrar de irritações nas nossas vias respiratórias e podem ser bem violentos — alcançando velocidades de 4,5 metros por segundo quando são liberados (escandalosa e) naturalmente.
Contudo, quando reprimimos uma “esternutação” (olha um nome novo para o seu vocabulário), como foi o caso do homem que tentou engolir o próprio espirro e acabou com a ruptura na faringe, a pressão normal da expulsão de ar pode aumentar em mais de 38 vezes. Basicamente, foi como se a violenta liberação de ar tivesse dado um baita soco na garganta do paciente.
Na verdade, essa não é a primeira vez que circulam notícias de pessoas que foram parar no hospital por tentar reprimir um espirro. Segundo Michelle, em 2011, médicos de um hospital em Boston, nos EUA, trataram um homem de 38 anos que sofreu uma fratura na laringe por causa disso.
Voltando ao paciente britânico, ele foi hospitalizado para evitar o risco de complicações e medicado com antibióticos, recebeu alimentos através de uma sonda e foi liberado após sete dias de internação.
Mas a situação poderia ter sido muito pior, já que os especialistas explicaram que evitar espirros cobrindo a boca e o nariz desse jeito pode resultar no rompimento dos tímpanos, em um problema chamado pneumomediastino — que consiste no acúmulo de ar no mediastino, que é o espaço que existe no centro do tórax, entre os pulmões — e até na ruptura de aneurismas cerebrais.
Leia mais notícias no www.diariodosertao.com.br, siga nas redes sociais: Facebook, Twitter, Instagram e veja nossos vídeos no Play Diário. Envie informações à Redação pelo WhatsApp (83) 99157-2802.
Deixe seu comentário