VÍDEO: Médico pede para que hospitais do sertão fiquem atentos aos possíveis casos de fungo negro
A Paraíba investiga dois casos de pacientes pós-covid que possivelmente adquiririam a mucormicose.
O médico paraibano Oscar Sobral pediu para que os hospitais e equipes médicas da região do sertão fiquem atentos aos possíveis casos de fungo negro. A Paraíba investiga dois casos de pacientes pós-covid que possivelmente adquiririam a mucormicose.
Ao ser questionado sobre a possibilidade da região sertaneja conter algum caso de fungo negro, Dr. Oscar pede que os médicos da região fiquem mais atentos para mais esse problema. “Dado a população, não custa nada ficar atentado a isso. Seria uma boa ideia pedir aos meus colegas médicos que comecem a se preocupar com mais esse fator dentro da ala Covid.”, pediu o médico.
Apesar de ser motivo para cuidado, não é preciso pânico. O especialista em saúde explica que é necessário que as prevenções contra o Coronavírus aconteçam, já que o fungo vem acometendo principalmente pacientes que estão ou já adquiriram o vírus, por conta da baixa imunidade.
VEJA TAMBÉM
VÍDEO: Após Paraíba confirmar dois casos suspeitos de fungo negro, médico explica a doença.
“Ou essa turma nova para de se aglomerar e obedece as autoridades de saúde, ou essa pandemia vai perdurar por muito tempo.”, explicou o Oscar.
O QUE É A MUCORMICOSE
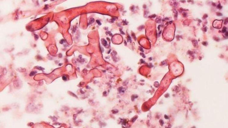
É uma infecção fúngica rara, causada por um fungo popularmente chamado de bolor. Ao entrar em contato com o organismo, o fungo lesiona os vasos e invade os tecidos em volta. Com a lesão, ocorre a necrose do tecido, que também pode adquirir uma coloração escura na pele. Por esse motivo, a infecção é chamada de “fungo negro”. De acordo com médicos, a taxa de mortalidade é em geral 50%.
Dr. Oscar Sobral explica que ao apresentar uma mancha escura ao médico, o procedimento é a verificação de necrose, e se detectada, a medicação necessária. “Depois de retirar o tecido morto, o médico aplica uma potente medicação antifúngica que nós já temos nos hospitais”, falou Oscar.
TRANSMISSÃO
O grupo de fungos é encontrado no meio ambiente, geralmente no solo. A infecção não é por transmissão de contato, ou seja, o contato físico com uma pessoa infectada não transmite o fungo.
“Ele não transmite de uma pessoa para outra. É pelo contato da pessoa com geralmente adubo, terra, folhas contaminadas. Na hora que a imunidade baixa, o paciente fica suscetível a esses microrganismos. Quem está se cuidado contra o Coronavírus dificilmente adquire o fungo.”, explicou o médico.
Leia mais notícias no www.diariodosertao.com.br, siga nas redes sociais: Facebook, Twitter, Instagram e veja nossos vídeos no Play Diário. Envie informações à Redação pelo WhatsApp (83) 99157-2802.

Deixe seu comentário